Skip to main content
Accessible Version
Drs. Smith and Domingue
200 Beaullieu Drive Bldg. 2 Lafayette, LA 70508
Drs. Smith and Domingue
200 Beaullieu Drive Bldg. 2 Lafayette, LA 70508
Schedule an appointment
Like us on Facebook
Follow us on Twitter
Visit us on Yelp
Watch our Youtube Videos
Leave a Google Review
Instagram
Contact Us
(337) 235-1523
200 Beaullieu Dr. Building 2 Lafayette, LA 70508
200 Beaullieu Dr. Building 2
Lafayette, LA 70508
Home
About Us
Our Team
Dr. J. Jerome Smith
Dr. Danny Domingue
Office Pictures
Services
View All
Placement and Restoration of Dental Implants
Sedation Dentistry
Bone Grafting
Cosmetic Dentistry
Digital Imaging for Diagnosis and Treatment
Digital X-Rays
Extractions
For Dentists Only
Preventive Dental Care
Removable Partial and Complete Dentures
Restorative Dentistry
Root Canal Therapy
Smile Gallery
Testimonials
Patient Info
View Patient Info
Forms
Financial
FAQs
Blog
Contact Us
Drs. Smith and Domingue
>
Smile Gallery
>
Dental Implants
Dental Implants
Return to Smile Gallery
Previous
Next
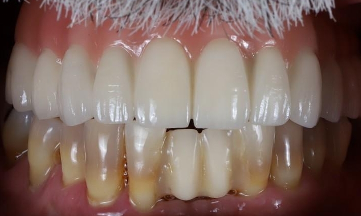
This patient refused to wear a denture. We placed 4 implants in the maxilla to stabilized and give him fixed permanent teeth.
Related Services:
Removable Partial and Complete Dentures
Placement and Restoration of Dental Implants
For Dentists Only
Place mouse over picture to pause
Before
After
Before
After
Getting an appointment is
fast
and
easy
!
Get Started!
OK!
×
×
Contact Us Today
Give Us A Call
Drs. Smith and Domingue -
(337) 235-1523
Email Our Office
Request an Appointment
Contact Us
Ready to Schedule an Appointment?
Book Online
Have Questions? Contact Us:
Required Field
Your Name:
Phone:
Email:
Are you a new patient?:
Are you a?
New Patient
Current Patient
How would you like us to contact you?
Please choose
Email
Call
How did you hear about us?
Please choose
I'm an existing patient
Google/Bing
Mailer
Word of mouth
Social media
Other
Who Referred You?:
Appointment Preferences
Monday
Tuesday
Wednesday
Thursday
Friday
Your Message:
This site is protected by reCAPTCHA and the Google
Privacy Policy
and
Terms of Service
apply.
Sending...
×
This Patient's Experience
Loading Testimonial...
Loading Case...