Accessible Version
Drs. Smith and Domingue
200 Beaullieu Drive Bldg. 2 Lafayette, LA 70508

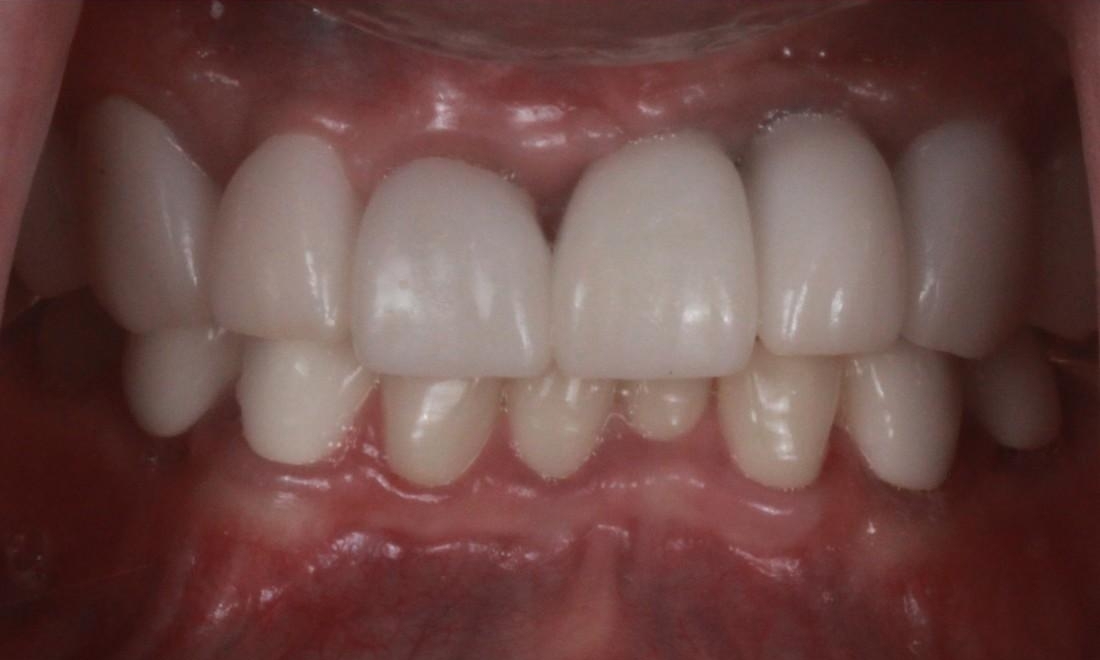
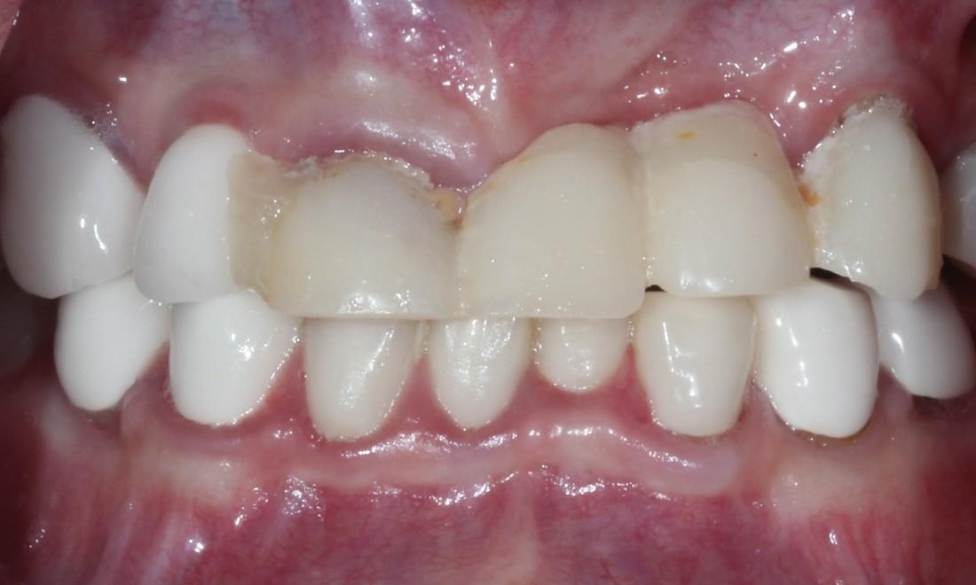
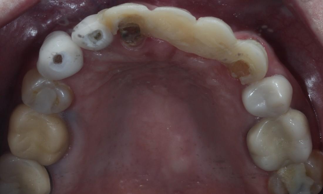
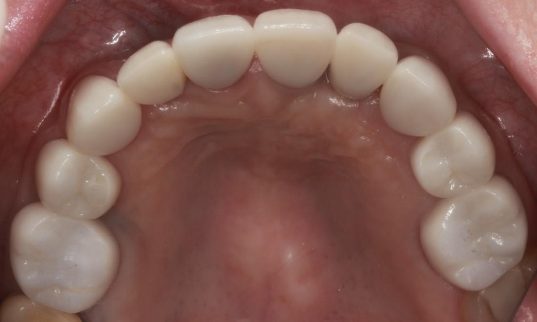
Need Help with Front Teeth

Replaced her old crowns with implants after her natural teeth broke. She loves her new smile.
Have Questions? Get in Touch
If you have difficulty using our website, please email us or call us at (337) 235-1523